שבר בקרסול: אנטומיה, סוגים, אבחון וטיפולים
שבר בקרסול היא אחת הפציעות השכיחות בספורט. בנוסף, זה גם המצב השכיח ביותר בטראומה. כמעט כל השברים בקרסול משפיעים על אחד מהמאליולי. ה-malleoli הם הקרנות הגרמיות שנמצאות שם והן מקבילות למפרק השוקה והפיבולה בכף הרגל.
אולי תאהב: 5 הפציעות הנפוצות ביותר וכיצד להימנע מהן
אנטומיה של הקרסול
כדי להבין נכון מאילו סוגי שברים בקרסול אתה יכול לסבול, חשוב להבין את האנטומיה של המפרק הזה. להלן שלוש העצמות העיקריות:
- השוקה: זוהי העצם הבולטת והמגושמת ביותר של המפרק, והיא ממוקמת בצד הפנימי של הרגל.
- פיבולה: מלווה את השוקה ונמשכת מהברך.
- אסטרגל: עצם בכף הרגל שגם השוק וגם הפיבולה מחוברות אליה.
כפי שציינו קודם, שברים בדרך כלל משפיעים על מלאול אחד או יותר. ה-malleoli הם הקרנות הגרמיות על הקרסול.
- המלאולוס המדיאלי ממוקם בחלק הפנימי של הקרסול והוא חלק מהחלק הקצה של השוקה.
- המלאולוס האחורי ממוקם בחלק האחורי של המפרק והוא גם חלק מהחלק הקצה של השוקה.
- לבסוף, ה- lateral malleolus ממוקם בצד החיצוני של הקרסול והוא חלק מקצה הפיבולה.
סוגי שברים בקרסול
ישנם סוגים רבים של שברים בקרסול כאשר מדובר בפציעות ספורט שכן כל פעילות בפני עצמה מהווה גורם סיכון אם לא מבוצעת כהלכה, בהתאם לייעוץ של איש מקצוע. ישנם מספר סיווגים של פציעות ספורט:
- סיווג Lauge-hansen: מבחין בין השברים השונים לפי התהליך שיוצר את הפציעה.
- סיווג Danis-Weber: מסווג פציעות לפי המקום שבו מתרחש שבר הפיבולה. סוג זה של סיווג לוקח בחשבון את הרמה בה התרחשה הפציעה ומשתמש ברקמה הסיבית המצטרפת לשוקה ולפיבולה (סינדסמוזיס) כהתייחסות.
- סיווג Herscovici: מבחין בין השברים השונים שיכולים להתרחש בשוק הדיסטלי (מדיאלי/פנימי או חלק תחתון של השוקה המתחבר לכף הרגל) לפי הרמה שבה הם מתרחשים.
תסמינים של שבר בקרסול
עלינו לזכור שסוגים אלה של פציעות אופייניים לענפי ספורט מסוימים. התסמינים השכיחים ביותר של שבר בקרסול הם מאוד ספציפיים וייחודיים, במיוחד אם הם מתרחשים בזמן שאתה מתאמן בספורט.
ראשית, תבחין בכאב עז ופתאומי לאחר תנועה פתאומית או טראומה. האזור יהפוך לאדום ונפוח תוך דקות ספורות ונבחין בכאבים הן בהליכה והן בהעמסה עליו. אפשר אפילו להרגיש אי נוחות חזקה פשוט כשנוגעים קלות באזור.
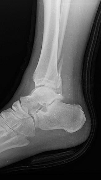
אבחון שבר בקרסול
לאחר שהפציעה מתרחשת, עליך לקבל אבחנה מאושרת. על מנת לעשות זאת, יהיה עליך לפנות לרופא בהקדם האפשרי. איש מקצוע רפואי יוכל להעריך את הפציעה שלך ולזהות את סוג השבר. בנוסף, הרופא גם יעריך עד כמה הפציעה מתרחבת ואת הטיפול המתאים ביותר.
הרופא יתחיל את תהליך האבחון במגע ומישוש באזור. לאחר מכן, איש המקצוע הרפואי יבצע צילומי רנטגן של האזור הפגוע. מדי פעם, אם קיימת אפשרות ששברת את הקרסול, הרופא שלך יבצע בדיקת CT על מנת להעריך את מידת הפציעה שלך.
אולי תאהב: היתרונות של ריצת חוף: כל מה שאתה צריך לדעת
טיפול בשבר בקרסול פציעת ספורט
קודם כל, יש צורך להדגיש את החשיבות של מניעת פציעות. ברור שלא תצטרך לטפל בשבר בקרסול אם הוא לא יתרחש לעולם.
לכן, אתה צריך להישאר מעודכן וללמוד על כל מה שעשוי להיות חשוב לדעת כדי להשתמש בטכניקה הנכונה בעת עיסוק בספורט או בפעילות גופנית.
אם במקרה הבחנת באי נוחות באזור הקרסול, מומלץ לקחת כמה ימי מנוחה וללכת לפיזיותרפיסט כדי להעריך את מצבך.
הטיפול יהיה תלוי בסוג השבר בקרסול שהתרחש. לדוגמה, אם אין לך שבר רציני או ניתוק עצם, הרופא שלך כנראה ישתמש בטיפול שמרני יותר. מצד שני, אם יש לך סיבוכים כמו שבר רציני או ניתוק עצם, סביר להניח שיהיה צורך בניתוח.
טיפול שמרני
יש להעריך מחדש את החולה לעתים קרובות במקרה של התנתקות עצם מאוחר יותר. הרופא שלך יציב גבס או סד, ובמקרים מסוימים, ייתכן שיהיה עליך להשתמש במגף הליכה. אתה תשתמש בגבס או בסד כל עוד נדרש לעצם להחלים כראוי.
בדרך כלל, זה עשוי להימשך יותר מחודשיים, ובמהלכם לא תוכל להעלות משקל על כף הרגל, כך שתצטרך להשתמש בקביים. לאחר שישה חודשים, אתה יכול לחזור לעסוק בספורט או להתאמן.
טיפול כירורגי
סוג זה של טיפול יהיה תלוי בסוג השבר שסבלתם. בדרך כלל, המנתח יכניס לוחית מתכת שנשמרת במקומה על ידי ברגים. הליך זה יעזור לשמור על יציבות הפיבולה והמפרק. במקרים אחרים, הרופא שלך יכול לבצע התערבות של השוקה הדיסטלית. במקרה זה, המנתח יחדיר גם ברגים.
אם יש פציעה ברצועה הקשורה לשבר, יש לתפור אותה במהלך אותו הליך. ניתן לחזור לספורט או להתאמן לאחר כחודשיים.
כמו כן, עלינו להדגיש את חשיבות הטיפול בפיזיותרפיה. זה חיוני שתבצע תרגילי ניידות וחיזוק מפרקים במהלך ההתאוששות שלך. זה יעזור להבטיח שהקרסול יחזיר לעצמו את כל הפונקציות שלו.
קרסול בריא חיוני לעיסוק בספורט אך גם עוזר למנוע פציעות אחרות.


