שברי מאמץ בטיביה: תסמינים וטיפולים
שברי מאמץ בטיביה, או בכל מקום אחר בגופך, נגרמים כתוצאה מהפרזת אימונים והתעלמות מחוסר איזון בשרירים. זה נכון במיוחד כאשר אתה מתאמן בספורט בעצימות גבוהה או שאתה בדרך להפוך לאתלט מקצועי.
למרות שהיא פשוטה, הפציעה הזו יכולה להחזיר אותך לאחור, ואם לא תטופל, להמיט הרס בקריירה שלך. במאמר של היום נסקור את כל מה שאתה צריך לדעת עליהם!
במילים פשוטות, שברי מאמץ או שברי עומס יתר הם סדקים קטנים המופיעים בעצמות. זה שכיח במיוחד בעצמות התומכות במשקל שלך.
גורמים ותסמינים של שברי מאמץ
שברי מאמץ מופיעים בדרך כלל עקב עומס ספורט מוגזם. הסיבה לכך היא שאתה משתמש באותו חלק גוף במשך זמן רב וחוזרות על עצמו. לכן, הגוף סובל ממכות עד שכמו בקיר מתחילים להופיע סדקים קטנים. בגלל זה, זו תהיה פתולוגיה שכיחה יותר בענפי ספורט בעלי השפעה גבוהה כמו כדורסל או מסלול.
שברים אלו יכולים להופיע גם עקב עלייה פתאומית בעצימות האימון. אם לא התרגלנו לתרגיל מסוים ופתאום, נעשה אותו הרבה פעמים ובמשקל לא מבוטל, העצמות לא יהיו מוכנות לזה. לאחר מכן, אחת ההשלכות עשויה להיות שבר מאמץ.
מצד שני, אם הגוף שלך נתון לעומס עבודה אינטנסיבי, אולי כדאי לך לשקול סיבה תזונתית. למעשה, שברי מאמץ עשויים להופיע גם עקב מחסור בחומרים מזינים. אם לעצם אין גישה לכל המשאבים הדרושים לה, היא עלולה להיחלש ולהפוך לנטייה לסבול מפתולוגיה מסוג זה. גם מחלות כמו אוסטאופורוזיס וחוסר סידן יגרמו לנו נטייה לכך.
לבסוף, עלינו לדאוג לתמיכה העיקרית שלנו: כפות הרגליים. הידיעה אם יש לך כף רגל שטוחה או קשתות גבוהות מאוד - וחיפוש אחר פתרון - תוריד את הסיכון לסבול מפציעה זו. זה יהיה חיוני גם לנעול הנעלה מתאימה כאשר אנו מתאמנים בספורט.
כמובן, חשוב לציין שאם היו לך שברי עומס בעבר, סביר יותר שתסבול אותם שוב בעתיד.
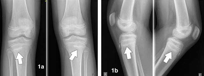
תסמינים של שברי מאמץ בטיביה
שברי מאמץ בטיביה שכיחים למדי. השרירים בחלק הקדמי של הרגל בדרך כלל לא עובדים הרבה, ובמקום זאת, אנו מעדיפים את הגב. המשמעות היא שהשריר בגב מושך את השוקה ללא כל התנגדות. לפיכך, הסיכון שלך לשברי מאמץ באזור זה עולה במידה ניכרת.
בשלבים הראשונים של שבר מאמץ, תבחין באי נוחות קלה בלבד באזור השוק. אי הנוחות הזו תיעלם בזמן מנוחה.
לאחר מכן, אותו כאב מקומי ילך רחוק יותר, ותתחיל לשים לב שהאזור דלקתי: נפוח, אדום וחם. אתה עשוי גם להתחיל להבחין בכאב בלילה, והאזור הפגוע יהיה רגיש מאוד למגע או להלם.
לא יהיו תסמינים נוספים של שבר מאמץ. בגלל זה, קבלת אבחנה מדויקת יכולה להיות מסובכת. רופא ישלול מצבים אחרים כגון בעיות גידים, פריוסטיטיס ותסמונת קומפרטמנט, בין היתר. לכן, חשוב לפנות לרופא שיבצע את הבדיקות הנדרשות וימצא אבחנה מוצלחת.
טיפול בשברי מאמץ בטיביה
הטיפול בשברי מאמץ מתמקד בדרך כלל במתן מנוחה נכונה לאיבר הפגוע. ייתכן שנצטרך קביים או עזרים פיזיים אחרים כדי להוריד את העומס מהרגל. עם זאת, תהיה ההמלצה אשר תהיה, חשוב לתת לעצם להתאושש.
ברוב המקרים, לאחר שישה שבועות, העצם תחזור לעצמה וניתן להתחיל ללכת שוב כרגיל.
אימון לאחר הפציעה
במהלך תקופה זו, חשוב לבצע פעילות גופנית שאינה כרוכה בלחצים גדולים על העצם הפגועה, כגון שחייה או רכיבה על אופניים. בתורו, זה ישמור על כושר גופני ומחזורי התאוששות רגילים של העצם.
כמובן, אתה יכול גם לקחת תרופות אנטי דלקתיות כדי לסייע בהפחתת הסימפטומים אם אתה רואה צורך בכך. חלופה נוספת היא למרוח חבילות קרח או קר על האזור הפגוע, מה שיעזור גם לשלוט בדלקת.
לאחר מכן, תהליך השחזור יתחיל. בשלב זה שלאחר הפציעה, עליך להתמקד באימוני כוח. עלייה במסת שריר רבה יותר תעזור להרים את העומס מהעצמות שלך. עם שרירים חזקים ובמצב טוב תורידו משמעותית את האפשרות להישנות.
בסופו של דבר, יהיה חשוב גם להוסיף עומס בהדרגה. לכן, אתה לא צריך להתחיל לעסוק בספורט שוב כאילו כלום לא קרה. עליך להתחיל בביצוע המינימום. בתורו, זה יאפשר לך לגופך להיכנס שוב לאימון.

