שבר מטקרפל: פציעה שכיחה בכדורסל
שבר מטקרפל יכול להיות כואב ומתיש מאוד בחיי היומיום שלך. זה נפוץ למדי בענפי ספורט מסוימים, במיוחד אלו שבהם אתה משתמש הרבה בידיים.
היום, נבחן מהי הפציעה הזו, איך היא נגרמת ומה אתה יכול לעשות כדי להבטיח החלמה מהירה.
מהו המטאקרפוס?
המטאקרפוס הוא השם שניתן לחמש העצמות בין פרק כף היד והאצבעות. בעיקרון, יש עצם אחת לכל אצבע בכף היד שלך, ואתה יכול למצוא אותם בקלות על ידי נגיעה ביד שלך.
תפקידם לספק יציבות ולהעביר את הכוח הנדרש להזזת כל אצבע בנפרד. היה לך טווח תנועה מוגבל הרבה יותר אם לא היה לך אותם.
כמו הפלנגות (העצמות באצבעותיך), העצמות הללו ארוכות ודי דקות. יתר על כן, הם מוגנים רק על ידי שכבה דקה יחסית של רקמות. זה אומר שהם די רגישים לפציעה, במיוחד אם אתה משתמש הרבה בידיים.
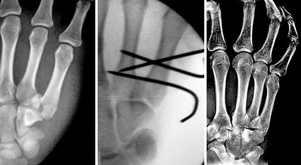
שבר מטקרפל
המונח 'שבר מטקרפל' מתייחס לשבר בכל אחת מחמש העצמות הללו. זה קורה לרוב במהלך ספורט. לדוגמה, בכדורסל, העצמות הללו משמשות ללא הרף כדי לכדרר את הכדור, לקבל מסירות או ליירט מסירות.
הסיכון הגדול ביותר הוא אם אתה נופל או מקבל מכה ישירה ביד. לדוגמה, אם אתה נופל, במיוחד על משטח קשה, סביר להניח שתוציא את ידיך כדי לרכך את הנפילה שלך. אבל אז ישנה גם אפשרות ששחקן אחר עלול ליפול עליך.
ואם זה לא מספיק, תמיד יש סיכוי ששחקן יוכל לפגוע במטאקרפוס שלך כאשר הוא מנסה לגנוב ממך את הכדור.
איגרוף הוא ספורט נוסף שבו פציעה זו נפוצה. הסיבה לסיכון כאן ברורה. בעת אגרוף, אתה מעביר את העצמות הללו כל הזמן לכוחות עזים, ואם לא תנקוט באמצעי הזהירות הדרושים ותשתמש בטכניקות טובות, אתה תהיה בסיכון להיפצע.
מחוץ לספורט, הדרכים הנפוצות ביותר לסבול משבר מטקרפלי הן נפילות ותאונות דרכים. בכל מקרה, סביר מאוד שתשתמשו בידכם באופן אינסטינקטיבי כדי לרכך את המכה של הפגיעה. עם זאת, העצמות ביד ובשורש כף היד סופגות את מלוא הפגיעה וכל אחת מהן עלולה להישבר כתוצאה מכך.
כיצד מטפלים בשבר מטקרפל?
אם חטפת מכה ביד והיא כואבת מאוד, כדאי לגשת ישר לרופא לאבחון. אם הרופא שלך מאשר שבר מטקרפלי, תזדקק לטיפול ושיקום.
זה ייקח כשישה שבועות לעצם להחלים, אם כי זה יכול להיות ארוך יותר אם השבר חמור יותר. במקרים חמורים מאוד, ייתכן אפילו שתזדקק לניתוח.
מלכתחילה, ייתכן שתצטרך ללבוש סד כדי לשמור את האצבעות במקומן. כמה זמן אתה צריך לחכות לפני שאתה יכול להתחיל להפעיל את האצבעות שלך יהיה תלוי עד כמה חמור השבר. לאחר זמן מה, תוכל להסיר את הסד כדי להזיז יותר את האצבעות.
במהלך תקופה זו, תצטרך גם לנסות להפחית כל דלקת על ידי מריחת קור ולאחר מכן חום. תצטרך גם לשמור על היד מורמת ולנוח.
לאחר שהשבר החלים וכבר לא תצטרכו לחבוש סד, תצטרכו לבלות זמן מה עם פיזיותרפיסט. מכיוון שהעצמות הללו נגישות בקלות, יש מגוון של תרגילים שאתה יכול לעשות כדי לשחזר את הניידות.
ייתכן שיאמרו לך להשתמש בטכניקות פיזיות כגון טיפול במגנט או בחום, מתיחות או תרגילים ספציפיים אחרים. איש מקצוע טוב יתאים את הפגישות שלך כך שיתאימו לחומרת הפציעה שלך.
עם שיקום מתאים, אתה אמור להיות מסוגל לבצע החלמה מלאה ללא הישנות.
הזהר
כפי שאתה יכול לראות, שברים מטקרפלים נגרמים בדרך כלל על ידי טראומה ישירה. כתוצאה מכך, אם אתה לוקח חלק בספורט שבו אתה צפוי ליפול, חשוב ללמוד כיצד ליפול נכון. ואם אתה מתאמן באגרוף, אתה צריך לוודא שאתה מפתח טכניקה טובה ולהשתמש נכון בתחבושות או עטיפות.
אבל אם אתה סובל משבר מטקרפלי, ההחלמה צריכה להיות פשוטה אך הדרגתית. אם אתה מבחין בחוסר תחושה, כאב מוגבר או נוקשות, פנה ישר לרופא שלך. בתנאי שאין סיבוכים, אתה אמור לחזור לשגרה לאחר מספר חודשים.

