מה זה מרפק הליגה הקטנה?
המונח הרפואי ל-"Little League Elbow" הוא Medial Apophysitis, והמצב משפיע על לוחית הגדילה הממוקמת במרפק. הסיבה שיש לו את השם הזה היא שזו פציעה נפוצה בקרב ילדים ובני נוער שמשחקים בייסבול בליגה הקטנה.
עם זאת, לא כל מי שמשחק בייסבול סובל ממצב זה. זה נפוץ יותר אצל אלו שזורקים את הכדור בכוח מופרז או בתדירות גבוהה מדי.
לפעמים באימונים מצפים מילדים ליותר מדי מהורים או מאמנים. זה יכול לקרות בכל ספורט. ככל שילד מתבקש לזנק יותר או מהר יותר או לזנק בטכניקה מסוימת, הסיכון לפגיעה בסחוס במרפק עולה.
ילדים יכולים לסבול ממצב זה בדרך כלל בין הגילאים 10 עד 15 שנים. זה נפוץ יותר אצל בנים, אבל זה כנראה בגלל שיש יותר בנים שמשחקים בייסבול מאשר בנות. הטכניקה יכולה להוות גורם חשוב מאוד, ומי שלא מקבל אימון מתאים נוטה יותר לפצוע את עצמו.
מה גורם למרפק הליגה הקטנה?
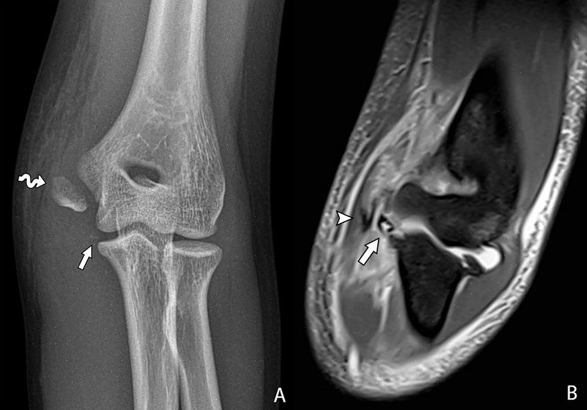
מרפק הליגה הקטנה הוא השם שניתן לפגיעה בצלחת הגדילה במרפק כתוצאה מהטלת בייסבול. המונח הרפואי לסחוס הגדילה האפופיזה והמצב הרפואי הוא אפופיזיטיס מדיאלי.
לוח הגדילה מכסה שטח גדול ורחב הממוקם בצד הפנימי של המרפק (אפיקונדיל מדיאלי). כאשר מטילים כדור בייסבול, אזור זה נמצא במתח, מכיוון שהמגרש משתמש בעיקר בשרירי האמה.
בעת התנדנדות, השרירים הללו פועלים במהירות ובעוצמה יותר מהרגיל. זה יוצר מתח במקום שבו הם מתחברים לצד הפנימי של המרפק.
חזרה על פעולה זו לאחר מכן גורמת לקרעים קטנים בסחוס המרפק וזה הופך לדלקתי עם הזמן. במקרים קיצוניים, קרע זה יכול להתרחב אל העצם ולקרוע חלק מהאפיקונדיל.
תסמינים
למרות שזה לא תמיד קורה, אתה עלול ממש לשמוע את הדמעה ברגע שהנזק נעשה. עם זאת, זה לא תמיד המקרה ולעיתים קרובות זה לא מורגש.
קיימת גם אפשרות שהילד לא יגיד דבר על הכאב כדי שיוכל להמשיך לשחק. הם צפויים להיות מודאגים מהחלפה ובמקום זאת, ישתוק. זה כמובן אומר שלוקח יותר זמן לזהות את הבעיה.
מלבד צליל הקרע עצמו, התסמין העיקרי הוא כאב ונפיחות במרפק. זה בדרך כלל ממוקם בחלק הפנימי של המרפק, אשר יגדל ככל שהנוזל יצטבר. אם הנפיחות לא יורדת תוך פרק זמן קצר, הזזת המרפק תהפוך לקשה יותר.
בדרך כלל, רופא יזהה כל נזק באמצעות טכניקות כגון רדיוגרפיה, טומוגרפיה או הדמיית תהודה מגנטית גרעינית. זו האחרונה היא אולי השיטה המדויקת ביותר שבה הרופא יוכל לראות את הנזק בפירוט רב יותר.
טיפול במרפק הליגה הקטנה
הצעד הראשון לאחר אבחנה חיובית יהיה להפסיק להתאמן או לשחק בייסבול. חשוב להניח את היד עד שהדלקת תירגע.
עם זאת, על מנת שיחזרו לתפקוד מלא במרפק, הם יזדקקו לתכנית שיקום. לשם כך, סביר להניח שתצטרכו להתייעץ עם מומחים ומאמנים כדי שהילד יוכל ללמוד כיצד לשחק שוב מבלי להגזים.
מלבד מנוחה, אתה יכול גם למרוח דחיסה קרה על המרפק או להשתמש בנוגדי דלקת, אם רשם הרופא שלך. אבל דאגו לתרופות אנטי דלקתיות מכיוון שיכולות להיות להן תופעות לוואי שליליות.
לאחר שהמרפק התאושש והשיקום הושלם, ילדכם ירצה לחזור להתנדנד בהקדם האפשרי. זה באמת חשוב למאמן שלהם לזכור את הפציעה שלהם, מכיוון שתמיד קיים סיכון שזה יחזור על עצמו בעתיד. החזרה למגרש פשוט חייבת להיות הדרגתית כדי להבטיח החלמה מלאה.
אם לוחית הגדילה פגומה קשות, ייתכן שיהיה צורך בניתוח. זה יכלול עד שישה חודשים של זמן החלמה ופיזיותרפיה ארוכת טווח.
המניעה עדיפה על תרופה
אולי ברור שהדבר הטוב ביותר הוא להימנע מלכתחילה ממרפק הליגה הקטנה. ישנן אגודות ספורט רבות שיכולות לתת עצות וללמד ילדים כיצד להרים מגרש נכון על מנת למנוע פציעה.
עם זאת, בסופו של דבר זה תלוי במבוגרים למנוע פציעות ספורט. אם יש לך חשד שילדך סובל מפציעה אפשרית, קבע פגישה עם הרופא שלך בהקדם האפשרי.

